Геморрагический шок. Новая концепция эндоскопического гемостаза при язвенных гастродуоденальных кровотечениях, осложненных геморрагическим шоком
20 -я городская клиническая больница, Научный центр хирургии Российской академии медицинских наук, Центральный научно-исследовательский институт гастроэнтерологии, Москва, Россия.

Высокая частота рецидивов кровотечений у больных с высоким операционно-анестезиологическим риском (30-40%), даже после успешного эндоскопического гемостаза, свидетельствует о малой эффективности применяемых методов эндоскопического гемостаза у этой категории больных.
И это, по нашему мнению, связано с двумя причинами:
Слайд N1. При глубоко расположенном (невидимом) источнике кровотечения введение большого количества агрессивных гемостатических препаратов с целью достижения контакта с источником кровотечения опасно из-за возможных осложнений. Поверхностное введение растворов создает временную преграду вне источника кровотечения, обусловленную гипотонией и гиповолемией. После стабилизации центрального кровотока, реперфузии и повышения артериального давления происходит прорыв этой плотины и рецидив кровотечения.

Слайд N2 (кровотечение из сосуда концевого типа).

2-я причина: Слайд N3. Известно, что у больных с геморрагическим шоком происходит запуск катаболического каскада, свойственному любому критическому состоянию. Каскад сопровождается гиперметаболическим ответом организма в ответ на синдром системного воспаления. При дефиците энергообеспечения развивается перекисное окисление липидов, шоковая трансформация органов и гибель больных от тяжелейших осложнений.
Так ли уж велика роль энергетической катастрофы в патоморфологии геморрагического шока?
Ответ на этот вопрос мы получили при изучении секционного материала 38 больных, погибших от язвенных гастродуоденальных кровотечений на фоне геморрагического шока.

Слайд N4 (легкие): шоковое легкое - пустая альвеолярно-капиллярная мембрана свидетельствует о поломке вентиляционно-перфузионного механизма и начале запуска метаболического шунтирования кровотока.

Слайд N5 - субплевральные кровоизлияния,

Слайд N6 - кровоизлияния в ткань легкого,

Слайд N7 - сладжи в миокарде (шоковое сердце),

Слайд N8 - дистрофия миокарда (перерыв мышечных волокон),

Слайд N9 - шоковая печень - пустая центральная вена,

Слайд N10 - жировая дистрофия печени,

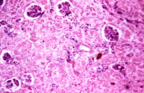
Слайд N11 - почки - некроз извитых канальцев,

Слайд N12 - малокровие клубочков.

Слайд N13 - дном язвы является мышечный слой - видны зияющие пустые сосуды, тромбированные сосуды, эрозии.
Представленная картина свидетельствует о возможности появления новых источников кровотечения.
ПАС-реакция зарегистрировала практически полное отсутствие полиаминосахаридов в клетках и тканях, то есть была представлена картина полного энергетического истощения. А у 22% больных, погибших в первые 2 часа с момента кровотечения, не было отмечено каких-либо повреждений внутренних органов, и смерть наступила на фоне апоптоза, то есть была энергетически зависимой.
При исследовании рН, газового состава крови во всех случаях отмечено нарастание тяжести метаболических нарушений. Согласно исследованиям Фиддиан-Грин, концентрация бикарбонатов крови равна таковой в слизистой оболочке желудка.
При геморрагическом шоке метаболические нарушения сохраняются продолжительное время во всех структурах поврежденного организма и являются второй причиной рецидивов кровотечений.

Слайд N14. Поэтому с нашей точки зрения эндоскопический гемостаз должен быть не только экстренным, направленным на блок или разрушение источника кровотечения, но и превентивным (противорецидивным), направленным на метаболическую реабилитацию региона кровотечения.

Слайд N15. С этой целью применяются препараты, оказывающие метаболическую коррекцию. Это в первую очередь 5% растворы глюкозы и аскорбиновой кислоты. Превентивный гемостаз выполняется в первые сутки как экстренный - первичный (при состоявшемся кровотечении и после экстренного эндоскопического гемостаза при продолжающемся кровотечении) и повторный 4-6 раз в сутки. Затем превентивный гемостаз выполняется как продолженный (с 2 и до 6 суток, то есть до тех пор, пока условно существует угроза рецидива кровотечения. Затем при задержке рубцевания и сохраняющемся болевом синдроме - местное лечение теми же препаратами, которые использовались для превентивного гемостаза. Необходимо отметить, что неконцентрированные растворы глюкозы применяются уже на этапе экстренного гемостаза.
Таким образом, в нашем исполнении эндоскопический гемостаз предусматривает практически одновременное проведение экстренного, превентивного гемостаза и местного лечения язвенной болезни.
Все препараты, применяемые для эндоскопического гемостаза, прошли экспериментальную проверку в Центральном научно-исследовательском институте гастроэнтерологии. Наиболее выраженный репаративный эффект отмечен при использовании аскорбиновой кислоты.

Слайд N16. С учетом межзональной зависимости в любой поврежденной биологической структуре превентивный гемостаз выполняется по всей окружности условного язвенного поля.

Слайд N17. Перфузионный эффект растворов будет достаточным в том случае, если эндоскопический гемостаз будет глубоким.

Слайд N18. Произведенная гастросцинтиграфия мечеными растворами глюкозы и аскорбиновой кислоты подтвердила необходимость проведения превентивного гемостаза в установленными нами эмпирические сроки.

Слайд N19. Кроме того, выявлено накопление препаратов в виде инфильтрационного депо через 1 сутки. (период полураспада пертехнетата - 6 часов).
Эти факты мы рассматриваем как результат включения препаратов в цикл жизнеобеспечения клеток в соответствии с законом К.Бернара - для постоянства внутренней среды необходимо постоянное поступление недостающих веществ.
При тяжелой кровопотере и геморрагическом шоке размеры язв имели относительное значение в прогнозе рецидива кровотечения. К предвестникам рецидива кровотечения мы отнесли: нестабильную гемодинамику даже отсутствии эндоскопических признаков кровотечения, а также шоковый индекс более 1,0; Нв 50 г/л, тяжелую кровопотерю и нарушения метаболического гомеостаза. В соответствии с концепцией Фиддиан-Грин при метаболическом ацидозе продолжали введение концентрированных растворов глюкозы, а при метаболическом алкалозе и продолжительном метаболическом ацидозе (гипокалиемии) введение глюкозы и аскорбиновой кислоты проводили на фоне инфузий поляризующего раствора с повышенным содержанием калия.

Слайд N20. Исследование желудочной секреции у больных с геморрагическим шоком показало, что в острой фазе шока отмечена гипо- и ахлоргидрия, а при выходе из шока - восстановление секреторной функции. На этом основании мы считаем, что по показателям рН-хромоскопии можно судить о тяжести геморрагического шока, поскольку функция париетальных клеток осуществляется только после восстановления местного кровотока, то есть после ликвидации централизации кровотока.
Данные об авторах:
1) Тимен Леонид Яковлевич - подполковник медицинской службы, член Американской академии медицинских наук, член американской академии наук, врач высшей категории 20-й городской клинической больницы г. Москвы Рабочий телефон 471-33-62. 129327 Москва, Ленская 15, 3-й корпус, отделение эндоскопии.
2) Шерцингер Александр Георгиевич - доктор медицинских наук, профессор отдела экстренной хирургии Научного центра хирургии Российской академии медицинских наук. 129327 Москва, Ленская 15, 5-й корпус, 1-е хирургическое отделение. Рабочий телефон 471-01-13.
3) Жигалова Светлана Борисовна - ассистент кафедры хирургических болезней N2 Московской медицинской академии имени И.М. Сеченова на базе городской клинической больницы N20 г. Москвы, кандидат медицинских наук. Рабочий телефон 471-08-98. 129327 Москва, Ленская 15, 5-й корпус, 3-е хирургическое отделение.
4) Сидоренко Татьяна Петровна - заведующая отделением эндоскопии городской клинической больницы N20 г. Москвы, врач высшей категории. Рабочий телефон 471-33-62. 129327 Москва, Ленская 15, 3-й корпус, отделение эндоскопии.
5) Стоногин Сергей Васильевич - хирург инфекционного корпуса Тушинской детской городской больницы г. Москвы, кандидат медицинских наук. 143406 Красногорск, Железнодорожная 28А 24. http://stonogin.narod.ru/sergeyvs.html
Haemorrhagic shock. New concept of endoscopic hemostasis at ulcer gastroduodenal bleedings complicated with haemorrhagic shock
L.J. Timen, A.G. Shertsinger, S.B. Zhigalova, T.P. Sidorenko, I.E. Trubitsina, B.Z. Chikunova, S.V. Stonogin, А.А. Vasilieva.20 city clinical hospital, Centre of science of surgery of the Russian academy of medical sciences, The central scientific research institute of gastroenterology, Moscow, Russia.

High frequency of relapses of bleedings at patients with high operative-anesthetic risk (30-40%), even after successful endoscopic hemostasis, testifies to small efficiency of used methods of endoscopic hemostasis at this category of patients.
And it, in our opinion, is connected to two reasons:
Slide n1. At deeply located (invisible) source of bleeding introduction of a plenty of aggressive hemostatic preparations with the purpose of achievement of contact to a source of bleeding is dangerous because of possible complications. Superficial introduction of solutions creates a time barrier outside of a source of the bleeding, caused by hypotonia and hypovolemia. After stabilization of the central blood-groove, reperfusion and increase of arterial pressure there is a break of this dam and relapse of bleeding.

Slide n2 (bleeding from the vessel of trailer type).

2-n the reason: Slide n3. It is known, that patients with haemorrhagic shock have start of the catabolic cascade, to peculiar any critical status. The cascade is accompanied by hypermetabolic answer of organism in reply to the syndrome of system inflammation. At deficiency of power supply peroxide oxidation of lipids, shock transformation of bodies and destruction of patients from the hardest complications develops.
Whether so the role of power accident in pathomorphology of haemorrhagic shock is great?
We have received the answer to this question at studying section material of 38 patients who have lost from ulcer gastroduodenal bleedings on background of haemorrhagic shock.

Slide n4 (lung): the shock lung - empty alveolar-capillary membrane testifies to breakage of the vent-perfusion mechanism and the beginning of start of metabolic shunting of blood-groove.

Slide n5 - subpleural haemorrhages,

Slide n6 - haemorrhages in tissue of the lung,

Slide n7 - sludgings in myocardium (shock heart),

Slide n8 - dystrophy of myocardium (break of muscular fibres),

Slide n9 - shock liver - empty central vein,

Slide n10 - fatty dystrophy of liver,

Slide n11 - kidneys - necrosis of crimped tubules,

Slide n12 - anemia of glomerules.

Slide n13 - bottom of ulcer is muscular layer - gaping empty vessels, thrombosed vessels, erosion are visible.
The submitted picture testifies to an opportunity of occurrence of new sources of bleeding.
PAS-REACTION has registered practically full absence of polyamidosaccharides in cells and tissues, that is the picture of full power exhaustion has been submitted. And at 22% of patients who have lost at first 2 o'clock from the moment of bleeding, it has not been marked any damages of internal bodies, and death has come on background of apoptosis, that is was energetically dependent.
At research рН, gas structure of blood in all cases increase of weight of metabolic infringements is marked. According to researches Fiddian-Green, concentration of bicarbonates of blood it is equal those a mucous membrane of stomach.
At haemorrhagic shock metabolic infringements are saved long time in all structures of the damaged organism and are the second reason of relapses of bleedings.

Slide n14. Therefore from our point of view the endoscopic hemostasis should be not only emergency, directed on the block or destruction of a source of bleeding, but also preventive (antirecurrent), directed on metabolic rehabilitation of region of bleeding.

Slide n15. With this purpose the preparations rendering metabolic correction are applied. It first of all 5% solutions of glucose and ascorbic acid. The preventive hemostasis is carried out in the first day as emergency - primary (at taken place bleeding and after emergency endoscopic hemostasis at proceeding bleeding) and repeated 4-6 once a day. Then the preventive hemostasis is carried out as continued (with 2 and till 6 day that is until conditionally there is a threat of relapse of bleeding. Then at a delay of scarring and a saved painful syndrome - local treatment by the same preparations which were used for preventive hemostasis. It is necessary to note, that not concentrated solutions of glucose are applied already at a stage of emergency hemostasis.
Thus, in our execution endoscopic hemostasis provides practically simultaneous carrying out of emergency, preventive hemostasis and local treatment of a stomach ulcer.
All preparations used for endoscopic hemostasis, have passed experimental check in the Central scientific research institute of gastroenterology. The most expressed reparative effect is marked at use of ascorbic acid.

Slide n16. In view of interzonal dependence in any damaged biological structure preventive hemostasis is carried out on all circle of a conditional ulcer field.

Slide n17. The perfusion effect of solutions will be sufficient in the event that the endoscopic hemostasis will be deep.

Slide n18. The made radionuclide imaging of stomach has confirmed with marked solutions of glucose and ascorbic acid necessity of carrying out of preventive hemostasis for the empirical terms established by us.

Slide n19. Besides accumulation of preparations as infiltration depot in 1 day is revealed (half-life period of pertechnetate - 6 hours).
We consider these facts as result of inclusion of preparations in cycle of life-support of cells according to K.Bernara's law - for a constancy of the internal environment constant receipt of missing substances is necessary.
At a heavy hemorrhage and haemorrhagic shock the sizes of ulcers had relative value in the forecast of relapse of bleeding. We have attributed to harbingers of relapse of bleeding: astable hemodynamics even absence of endoscopic attributes of bleeding, and also shock index more than 1,0; Нв 50 g/l, heavy hemorrhage and infringements of metabolic homeostasis. According to the concept Fiddian-Green at metabolic acidosis continued introduction of the concentrated solutions of glucose, and at metabolic alkalosis and long metabolic acidosis (hypokaliemia) introduction of glucose and ascorbic acid spent on a background of infusions of polarizing solution with the increased contents of potassium.

Slide n20. Research of gastric secretion at patients with haemorrhagic shock has shown, that in sharp phase of shock is marked hypo-and an achlorhydria, and at an output from shock - restoration of secretory function. On this basis we count, that on parameters of pH-chromoscopy it is possible to judge weight of haemorrhagic shock as function of parietal cells is carried out only after restoration of local blood-groove, that is after liquidation of centralization of blood-groove.
The data on authors:
1) Timen Leonid Jakovlevich - lieutenant colonel of medical service, member of the American academy of medical sciences, member of the American academy of sciences, doctor of supreme category of 20-th city clinical hospital of Moscow Office number 471-33-62. 129327 Moscows, Lenskaya 15, 3-rd case, branch of endoscopy.
2) Shertsinger Alexander Georgievich - doctor of medical sciences, professor of the department of emergency surgery of the Centre of science of surgery of the Russian academy of medical sciences. 129327 Moscows, Lenskaya 15, 5-th case, 1 surgical branch. Office number 471-01-13.
3) Zhigalova Svetlana Borisovna - assistant to faculty of surgical illnesses N2 of the Moscow medical academy of name I.M. Setchenov on the basis of city clinical hospital N20 of Moscow, candidate of medical sciences. Office number 471-08-98. 129327 Moscows, Lenskaya 15, 5-th case, 3 surgical branch.
4) Sidorenko Tatyana Petrovna - managing branch of endoscopy of city clinical hospital N20 of Moscow, doctor of supreme category. Office number 471-33-62. 129327 Moscows, Lenskaya 15, 3-rd case, branch of endoscopy.
5) Stonogin Sergey Vasiljevich - surgeon of infectious case of Tooshino children city hospital of Moscow, candidate of medical sciences.
143406 Krasnogorsk, Zheleznodorozhnaya 28А 24. http://stonogin.narod.ru/sergeyvs.html