Форум РМС

Лечение в Москве - 8 (495) 506 61 01

Лечение за рубежом - 8 (925) 50 254 50

Splénectomie laparoscopique chez une fille de 8 mois avec torsion, nécrose de la rate errante.

Splénectomie laparoscopique chez une fille de 8 mois avec torsion, nécrose de la rate errante.

Y.Y. Sokolov, A.V. Dzyadchik, O. V. Korenkova, S.V. Stonogin, T.R. Lavrova, E.A. Tashirova, K. D. Sangare

Académie médicale russe de formation professionnelle continue, hôpital clinique de la ville des enfants nommé d'après Z.A. Bashlyaeva

Une fillette de 8 mois a été admise d`urgence à l'hôpital pour: nausees, vomissements, diarrhee.

Anamnesis morbi

 La veille après le repas ( la bouillie de maïs, puree de pommes, courgettes),  chez l`enfant sont apparus les symptomes suivants: de  l'anxiété, des vomissements répétitifs, de la lethargie . Il na pas recu de consultation medicale.

Anamnesis vitae sans particularite

À l'examen,

- Alteration de letat general

- Lethargie

- Anorexie (diminution de l`appetit)

- Selles molles muceuses de couleur jaunatre verdrate  4-5 fois

Dans l'analyse du sang, la leucocytose est de 23000.

A l`inspection:

La palpation de l`abdomen est non douloureuse, ballonments(distendu?)

Analyses:

NFS- Leucocytoses 23000

Diagnostic préliminaire de gastro-entérocolite infectieuse aiguë de gravité modérée, toxicose.

L`échographie abdominale: les contours de la rate sont uniformes, la structure est d'échogénicité moyenne, homogène. Dimensions 59x24 mm. Au pôle inférieur, une lésion volumétrique de dimensions 48x25 mm est visualisée, la structure est homogène, isoéchogène au parenchyme de la rate (lobule supplémentaire?).

Un surface hyperechogene se delimite de la surface diaphragmatique au hile de la rate (ligament?).

A l`echo doppler pas de flux sanguin. Dans le parenchyme de la rate, le flux sanguin est préservé. Il est impossible d'exclure un lobule supplémentaire de la rate, une formation de masse.

Compte tenu des symptomes l`enfant fut consultée d'urgence par un chirurgien. Un ASP de face a été réalisé.

 Pas de gaz, ni d`epanchements dans la cavite abdominale. les niveaux horizontaux de liquide ne peuvent pas être déterminés de manière fiable. Le gaz dans l'intestin est réparti de manière inégal dans les régions abdominales, absent dans les régions inférieures.

 Il y a un gonflement prononcé des boucles du côlon dans les parties gauches de la cavité abdominale, au même endroit dans s`observe une dilatation du colon. Bulle de gaz de l'estomac sous le dôme du diaphragme à gauche.

Les ombres pathologiques radio-opaques ne sont pas détectées. (Figure 1).

 

La figure 1 est un ASP de face. Il y a une diltation prononcée des boucles du côlon et une bonne partie du colon dans les parties gauches de la cavité abdominale.

Une échographie abdominale d'urgence a été réalisée en dynamique, dans laquelle au niveau de la crête iliaque, une formation volumétrique de forme ovale avec des contours clairs et uniformes, de taille 54x27x42 mm, de structure identique au parenchyme splénique, a été déterminée. Pas de flux sanguin  (Fig. 2).

Figure 2 - L`echographie de la rate: Une masse volumique de forme ovale , aux contours nets et uniformes, de dimensions 54x27x42mm, de structure identique au parenchyme de la rate. A lecho doppler: Pas de flux sanguin .

 

On note un oedeme des tissus mous environnants (péritoine, espace rétropéritonéal).  Les anses visibles sont dilatées, les parois mesurent jusqu'à 2,3-2,5 mm, le péristaltisme est affaibli, le contenu est liquide, hétérogène. Les signes echographique:  structure lobulaire de la rate. Une torsion de l'un des lobesne peut etre exclue. Des modifications? diffuses des parois intestinales, des flatulences prononcées .

 Après un examen plus approfondi du chirurgien, diagnostic pose (etabli): torsion de la rate. Les indications pour une chirurgie d'urgence a ete etablie: laparoscopie, révision de la cavité abdominale . Sous anesthésie a la palpation on note une masse volumique mobile de consistance élastique d'un diamètre d'environ 5 cm.

 Lors de la révision, on constate dans le canal latéral gauche, la rate de couleur cerise foncée mesurant 5x4x3 cm. Une détorsion laparoscopique de la rate tordue effectuée , splénectomie laparoscopique.

 Fig. 3 (photo peropératoire. La rate nécrotique est visible)

 

L'appareil ligamentaire de la rate est absent, le pédicule allongé est tordu de 720 degrés (Fig.4).

 

 La figure 4 est une photo intrapératoire. Le pédicule de rate allongé tordu de 720 degré est visible. L'appareil ligamentaire de la rate est absent.

Lors de la dissection du parenchyme de la rate , il n'y a pas de saignement actif (Fig. 5).

 

Figure 5 - Lors de la dissection du parenchyme de la rate , il n'y a pas de saignement actif

Compte tenu des signes de nécrose de la rate, la splénectomie a ete effectuee. Le pedicule de la rate est coagulé et sectionné (Fig. 6.7).

 

Figure 6 - photo intraopératoire. Électrocoagulation du pedicule de la rate

 

 La figure 7 est une photo peropératoire. La pedicule coagulé de la rate a été disseque avec des ciseaux. Remplacement du trocart para-ombilical par un trocart de 10 mm (Fig 8).

 

La rate a été retirée de la cavité abdominale dans l'endopacket?  (Fig. 9).

 

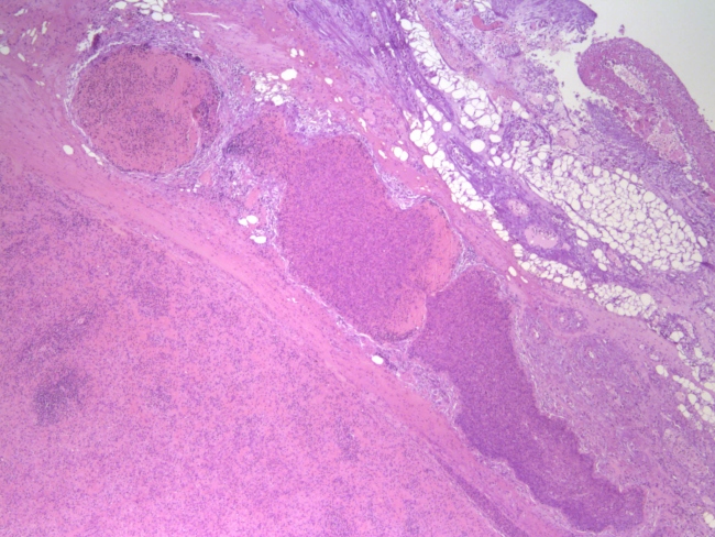
Fig.12 - une micropréparation de la rate prélevée. Augmentation de x400, colloration a  l`hématoxyline-éosine. La capsule est épaissie avec un œdèmatique, fibrose focale,  infiltration  leucocytaires? segmentés et des itiches. le parenchyme de la rate avec  hémorragies massives avec nécrose.

 

 Figure 13 - une micropréparation d'une rate prélevée. Augmentation x 400, coloration a l`hématoxyline-éosine. Des zones de tissu adipeux avec des vaisseaux fortement congestionnés, une stase, une infiltration leucocytes segmentaires, des lymphocytes, des agregations focales d'exsudat fibrineux-leucocytaire.

 

 Fig.14 - micropréparation de la rate prélevée. Augmentation x 100. Coloration a l`hématoxyline-éosine. Pulpe rouge avec sinus à fortement dilatés imbibes de sang, hémorragies  avec nécrose.

 

Dans la période postopératoire, un traitement antibactérien et des perfusions ont ete effectué. A l'échographie abdominale de contrôle, des flatulences ,pas de masses apéristaltiques volumineux dans la cavité abdominale . Les anses intestinales ne sont pas dilatées, les parois sont fines, le péristaltisme n'est pas modifié. Les ganglions lymphatiques mésentériques ne sont pas hypertrophiés, juste quelques uns ont ete scane. Dans la projection de la rate dissequee, tissu d'échogénicité accrue(elevee?) d'une épaisseur de 3,5 mm. Etat après une splénectomie. Signes echographiques de flatulence.

La période postopératoire s'est déroulée sans incident. Dans un état satisfaisant, la fillette a été renvoyée chez elle le 8e jour après l'opération.

La rate errante a été décrite pour la première fois par le clinicien néerlandais Van Horne en 1667. En 1854, le chirurgien polonais Jozef Dietl a observé pour la première fois une rate errante ou balladeuse  chez un enfant. Le médecin allemand A. Martin a réalisé la première splénectomie en 1877. À ce jour, environ 500 cas de rate errante chez les enfants et les adultes ont été décrits dans la littérature mondiale. L'âge des patients est de 3 mois à 82 ans. Chez les enfants de moins de 1 an, cette pathologie était plus fréquente chez les garçons (2,5: 1).

L'évolution asymptomatique de la maladie avant le premier épisode de torsion splénique est notée dans 70% des cas. Le diagnostic précoce est extrêmement difficile. La moitié des patients présentent des douleurs abdominales aiguës. Une triade de symptômes est décrite, déterminée chez les patients    présentant une rate errante, ils comprennent: 1) une masse de forme ovale palpable dans la moitié gauche de l'abdomen,

2) le déplacement de la masse dans la moitie gauche est indolore, 3) A la percussion , la rate est absente dans le quadrant superieur gauche. Les phénomènes de dyspepsie et de dysurie sont décrits. Avec une rate errante peuvent se developper un syndrome d'hypersplénisme, une splénomégalie et un sydrome hypertension prehepatique?.

Principales complications graves de la rate errante: torsion, infarctus (ischemie?) de la rate ,   nécrose et rupture de la rate avec l` evlotion d`un hematoperiteneum .La torsion de la rate surgit lors de l`absence de l'appareil ligamentaire de la rate. Les occlusions intestinales, la pancréatite aiguë et la péritonite sont moins fréquentes.

L'échographie doppler est dune tres grande importance . La tomodensitométrie en spirale avec contraste, ainsi que l'IRM, permettent de visualiser les vaisseaux tortueux du hile de la rate. Lors de notre observation, il était possible de suspecter une torsion de la rate vague par échographie. Le symptôme le plus caractéristique de la tomodensitométrie en spirale, ainsi que la position anormale de l'organe, était un parcours en spirale contrasté de l'artère splénique et de la veine.

Le choix de la méthode de traitement chirurgical est déterminé par le moment de la détection de l'anomalie et les complications développées. Jusqu'à récemment, pour une rate errante, la splénectomie était l'opération de choix. Bar-Maor JA, Sweed Y. 1989 et al ont été les pionniers de la laparotomie, de la détorsion, de la splénopexie et de la rétropéritonisation de la rate. D'autres méthodes ont été proposées: fixation de la rate par le pédicule vasculaire, création d'un «hamac» de gaze et dexon avec suture au diaphragme, interposition de la rate, suture de l'épiploon.

En 1998, une fillette de deux ans a subi une splénopexie laparoscopique pour la première fois en utilisant une boucle de gaze avec suture au diaphragme. En 2003. Splénopexie laparoscopique décrite à l'aide d'un maillage dexon. En 2005. Hedeshian et coll. effectué une rétropéritonéisation laparoscopique de la rate.

Il convient de souligner qu'en raison du risque élevé de développer des complications graves, une intervention chirurgicale est indiquée même chez les enfants présentant une évolution asymptomatique de cette maladie.

Ainsi, nous présentons une observation clinique extrêmement rare de torsion et de nécrose de la rate vague chez une fille de 8 mois, dont la maladie s'est déroulée dans le contexte (sous forme?) d'infection intestinale aiguë. Compte tenu des signes de nécrose de la rate, la fille a subi une splénectomie laparoscopique.

Il faut souligner que le diagnostic de cette pathologie chez une cette enfant etait extrêmement difficile. Au processus ont pris part plusieurs specialistes: pédiatres, chirurgiens pédiatriques, médecins du service de radiodiagnostic, anesthésiologistes-réanimateurs, médecins-pathologistes. Seule une approche multidisciplinaire de l'examen et du traitement d'un enfant permet d'établir un diagnostic précis et de faire le bon plan de traitement pour le bébé.

Donnes des auteurs:

1. Sokolov Yourii Yourivich- chef de  chaire de chirurgie pediatrique de l`Academie medicale russe de formation professionnelle continue.Docteur en sciences medicales. Professeur.

2. Dziadchik Alexandre Valerevich - Chef de service de la chirurgie pediatrique du centre hospitalier universitaire pediatrique Z.A Bashlyaeva.

3. Korenkova Olga Valentinovna - chirurgienne pediatre du service de chirurgie du centre hospitalier universitaire pediatrique Z.A Bashlyaeva.

4. Stonogin Serguei Vasilivich- chirurgien pediatre du centre hospitalier universitaire pediatrique Z.A Bashlyaeva. orcid 0000-0003-3531-5849

5. Lavrova Tatyana Romanovna - chef de service d`echographie du centre hospitalier universitaire pediatrique Z.A Bashlyaeva.

6. Tashirova Ekaterina Alexandrovna - anatomopatologiste du servic d`anatomopatologie du centre hospitalier universitaire pediatrique Z.A Bashlyaeva.

7. Sangare Kadidiatou Djinedie - residente de  la chaire de chirurgie pediatrique de l`Academie medicale russe de formation professionnelle continue.