Форум РМС

Лечение в Москве - 8 (495) 506 61 01

Лечение за рубежом - 8 (925) 50 254 50

Асинхронный перекрут добавочной блуждающей селезенки у девочки 10 месяцев

Асинхронный перекрут добавочной блуждающей селезенки у девочки 10 месяцев

Ю.Ю. Соколов, С.В. Стоногин, А.В. Дзядчик, Е.А. Таширова

Российская медицинская академия непрерывного последипломного образования, Москва, Детская городская клиническая больница имени З.А. Башляевой, Москва

Девочка поступила в инфекционное отделение с признаками острой кишечной инфекции. 

Отмечались вялость, многократная рвота, беспокойство, жидкий стул в течение двух суток. Самостоятельно принимали регидрон.

В анамнезе спленэктомия по поводу перекрута, некроза блуждающей селезенки.

При осмотре живот у ребенка мягкий, доступный пальпации во всех отделах. Есть небольшая болезненность при пальпации в эпигастрии. Перитонеальных знаков нет.

В анализе крови лейкоцитоз 22000, HB119г/л.

Выполнено узи органов брюшной полости. Расположение - инверсия. Форма правильная, контуры ровные, четкие. Край печени острый. Размеры увеличены: передне-задний размер правой доли (расположенной в левом подреберье) 96 мм, индекс I сегмента меньше 30% (1 сегмент 16 мм). Паренхима печени средней эхогенности, мелкозернистая, очаговые изменения не выявлены. Сосудистый рисунок не изменён. Печеночные вены не расширены. Визуализируемые фрагменты вне- и внутрипечёночных желчных протоков не дилатированы, стенки их не изменены. Желчный пузырь: расположен слева. Форма - перегиб в теле, частично сокращен. Стенки тонкие, просвет эхонегативный. Поджелудочная железа: экранирована содержимым желудка. Селезенка: в проекции селезенки, между печенью и левой почкой визуализируется овальное эхогенное образование с четкими ровными контурами размерами 53x23 мм, кровоток в нем практически не регистрируется (дополнительная долька селезенки). Заключение: Эхопризнаки дополнительной дольки селезенки, транспозиции печени.

Заключение УЗИ не является диагнозом и должно быть интерпретировано только лечащим врачом!

При повторном узи органов брюшной полости: Тонкая кишка: Петли тонкой кишки частично расширены, содержимое неоднородное. Стенки не утолщены, структура их сохранена. Перистальтика ослаблена во всех отделах, местами маятникообразная. В правом подреберье визуализируется мишенеподобная структура диаметром 16 мм, во время осмотра самостоятельно расправившаяся. Ободочная кишка: расширена пневматизирована. Стенки ободочной кишки не утолщены, 2 мм. Дифференциация слоев четкая, структура стенки не насушена. Свободной жидкости в межпетельном пространстве не выявлено. Мезентериальные лимфатические узлы до 6 мм овальной формы, средней эхогенности, однородной структуры. Заключение: Эхопризнаки нарушений моторики кишечника. транзиторной, самостоятельно расправившейся, инвагинации кишечника.

Обзорная рентгенография органов брюшной полости. На рентгенограмме брюшной полости в прямой проекции вертикально: Уровней жидкости и свободного газа в брюшной полости не выявлено. Теней, подозрительных на конкременты достоверно не выявлено. Пневматизация петель кишечника повышенная.

 

Рис 1- обзорная рентгенограмма брюшной полости. Повышение пневматизации кишечника

Ультразвуковое исследование селезенки. Селезенка: в проекции селезенки, между печенью и левой почкой визуализируется овальное эхогенное образование с четкими ровными контурами размерами 57x26 мм, кровоток в нем не регистрируется.

Заключение: Эхографически нельзя исключить перекрут добавочной дольки селезенки.

Компьютерная томография органов брюшной полости с внутривенным болюсным контрастированием. 

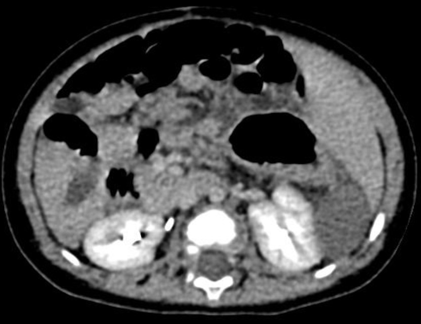
Описание: Печень расположена срединно с преобладанием размеров левых отделов. Контуры ее ровные, четкие. Структура паренхимы однородная, плотность не изменена. Внутри- и внепеченочные желчные протоки не расширены. Желчный пузырь расположен срединно, перегиб в области тела, конкрементов нет.

Слева в проекции селезенки между задней поверхностью печени, желудком и левой почкой определяется овальное образование с четкими ровными контурами достаточно однородной структуры средней плотностью +48 ед. HU.

Поджелудочная железа нетипичной формы, расположена срединно, не увеличена, структура паренхимы однородная, плотность не изменена, контуры четкие. Парапанкреатическая клетчатка не изменена.

Надпочечники обычной формы и размеров, однородной структуры. Форма и размеры почек не изменены, контуры их ровные и четкие, структура однородная, плотность паренхимы - в пределах нормы. Чашечно-лоханочная система обеих почек не деформирована, не расширена, конкременты не обнаружены. Паранефральная клетчатка - без особенностей. Правая почка расположена выше левой верхний полюс её на уровне Th10, верхний полюс левой почки на уровне Th12. Свободной жидкости в брюшной полости и малом тазу нет. Мочевой пузырь умеренно выполнен. Патологических рентгенконтрастных теней не определяется. Патологических изменений скелета на исследуемом уровне не выявлено

После введения контрастного вещества: архитектоника сосудов не изменена. Верхняя брыжеечная артерия ориентирована вправо. Чревный ствол делится на две ветви, направленные влево, идущие к печени и желудку. Структур с типичным для селезёнки накоплением контрастного препарата не выявлено. Накопление контрастного препарата образованием не отмечено, к передней поверхности образования прилежат тонкие извитые сосуды, отходящие от брыжеечных. Дополнительных зон патологического накопления контрастного вещества не выявлено. Экскреторная функция почек по визуальной оценке сохранена. Мочеточники прослеживаются цистоидами на протяжении. Заключение: Состояние после эктомии добавочной селезенки. Аномалия расположения печени. Выявленное образование в левых отделах живота необходимо дифференцировать между перекрутом добавочной селезёнки, неопластическим процессом.

 

Рис 2 - Слева в проекции селезенки между задней поверхностью печени, желудком и левой почкой определяется овальное образование с четкими ровными контурами достаточно однородной структуры средней плотностью +48 ед. HU.

Девочка была оперирована по экстренным показаниям. Выполнена лапароскопическая спленэктомия, дренирование брюшной полости. Под эндотрахеальным наркозом под пупком введен 5-мм троакар, введена оптика и наложен карбоксиперитонеум. Дополнительные 5-мм троакары введены в эпигастральной области и в левой люмбодорзальной области. При ревизии левого поддиафрагмального пространства установлено, что имеется перекрут селезенки на 720 градусов. Селезенка размерами 4x3x3 см со всех сторон окружена сальником, темного цвета, при рассечении паренхимы селезенки - активного кровотечения нет.

 

Рис 3- интраоперационное фото. Блуждающая селезенка размерами 4x3x3 см со всех сторон окружена сальником, темного цвета

 

Рис 4 – интраоперационное фото. При ревизии левого поддиафрагмального пространства установлено, что имеется перекрут блуждающей селезенки на 720 градусов. Селезенка при рассечении паренхимы без активного кровотечения нет.

Учитывая признаки некроза селезенки, решено выполнить спленэктомию. С помощью гармонического диссектора пересечена желудочно-селезеночная связка. Другие связки селезенки отсутствуют. Ножка селезенки коагулирована гармоническим диссектором, пересечена.

 

Рис 5. Интраоперационное фото. Ножка селезенки коагулирована гармоническим диссектором, пересечена.

Иссечены имбибированные кровью ткани в области ножки селезенки и хвоста поджелудочной железы. Замена околопупочного троакара на 10-мм. Селезенка удалена из брюшной полости в эндопакете.

 

Рис 6. Интраоперационное фото. Селезенка помещена в эндопакет.

 

Рис 7. Интраоперационное фото. Селезенка удалена из брюшной полости в эндопакете.

Брюшная полость осушена. Через левый троакарный доступ под диафрагму введен дренаж. В послеоперационном периоде проводилась инфузионная, антибактериальная терапия с положительной динамикой.

 Проведено ультразвуковое исследование органов брюшной полости в послеоперационном периоде. 

Расположение печени атипичное, центральное. Правая и левая доля симметричны, контуры ровные, четкие. Край печени острый. Размеры не увеличены: передне -задний размер правой доли 80 мм, левой доли 80 мм, индекс I сегмента меньше 30%.

 

Рис 8 узи брюшной полости. Расположение печени атипичное, центральное.

Паренхима печени средней эхогенности, мелкозернистая, очаговые изменения не выявлены. Сосудистый рисунок не изменён. Печеночные вены не расширены. Ствол воротной вены - 8 мм, дилатирован, представлен единым стволом без четкого разделения на правую и левую ветвь, стенки не утолщены. Фетальные коммуникации (пупочная вена, Аранциев проток) облитерированы. Визуализируемые фрагменты вне- и внутрипечёночных желчных протоков не дилатированы, стенки их не изменены, диаметр холедоха 2 мм. Пупочная вена аваскулярна при ЦДК. Желчный пузырь: расположен центрально. Форма - перегиб в теле. Стенки тонкие, просвет эхонегативный. Дополнительных патологических изменений в проекции стенок желчного пузыря, протоков и паравезикальных тканей не определяется. Поджелудочная железа: не видна, полностью экранирована газами кишечника. Селезенка: При боковом доступе, по стенке большой кривизны желудка отмечается мелкое образование округлой формы диаметром 1 см, однородная мелкозернистая по структуре - остаточная доля селезенки, кровоток не оценен из-за низкой доступности. Свободной жидкости, объемных аперистальтичных образований в брюшной полости не выявлено. Заключение: Эхопризнаки аномалии расположения и формы печени - центрально расположенная печень, визуализация добавочной мелкой доли селезенки, дислокация, перегиб желчного пузыря.

Морфологические исследования

Макроописание: Доставлено 2 контейнера с маркировкой:

1 (селезенка)- В одном контейнере множественные разорванные фрагменты селезенки размером от 0,5x0,4x0,4см до 5x3x2см, массой 13.4г, темно-коричневого цвета, мягко-эластичной консистенции. 2(вена селезенки)- 1 фрагмент ткани размером 2x1,5x1 см серо-коричневого цвета, мягко-эластичной консистенции.

 

Рис 9 Макропрепарат удаленной селезенки

Микроописание: 1. Множественные деформированные фрагменты селезенки и фиброзно-жировой ткани с разнокалиберными сосудами. Капсула отечная, в отдельных сосудах тромбы. Паренхима с обширными кровоизлияниями с очаговыми некрозами, резко полнокровными сосудами красной пульпы. Белая пульпа представлена мелкими лимфоидными фолликулами без светлых центров.

2. Участок отечной фиброзно-жировой ткани, в толще отмечается артерия и вена мелкого калибра, мелкие сосуды с тромбами, нервные волокна, очаговая инфильтрация лимфоцитами и сегментоядерными лейкоцитами, кровоизлияния.

Заключение: Фрагменты селезенки с обширными кровоизлияниями с некрозом, острым нарушением кровообращения.

 

Рис 10. Микропрепарат удаленной селезенки. окраска гематоксилин-эозин, увеличение х40, селезенка с капсулой с тотальным геморрагическим пропитыванием паренхимы.

 

Рис 11. Микропрепарат удаленной селезенки. Окраска гематоксилин-эозин, увеличение х100, геморрагическое пропитывание, выраженное полнокровие венозных синусов красной пульпы, мелкие лимфоидные фолликулы белой пульпы.

 

Рис 12. Микропрепарат удаленной селезенки. Окраска гематоксилин-эозин, увеличение х100, артерия и эктазированная вена с пристеночным тромбом. 

Послеоперационный период без осложнений. В удовлетворительном состоянии девочка выписана домой на 7-е сутки после операции.

Впервые блуждающая селезенка была описана голландским клиницистом Van Horne в 1667 г. В 1854г польский хирург Jozef Dietl впервые наблюдал блуждающую селезёнку у ребёнка. Немецкий врач А. Мартин выполнил первую спленэктомию в 1877г. К настоящему времени в мировой литературе описано около 500 случаев блуждающей селезенки у детей и взрослых. Возраст больных от 3-х месяцев до 82 лет. Среди детей до 1 года эта патология чаще встречалась у мальчиков (2.5:1).

Бессимптомное течение заболевания до первого эпизода перекрута селезенки отмечается в 70% случаев. Ранняя диагностика чрезвычайно сложна. Половина пациентов поступают с острой болью в животе. Описана триада симптомов, определяемых у больных с блуждающей селезенкой, к ним относят: 1) пальпируемое овальной формы объёмное образование в левой половине живота, 2) в левой половине смещение его безболезненное, 3) при перкуссии отсутствие селезенки в левом верхнем квадранте. Описаны явления диспепсии и дизурии. При блуждающей селезенке может развиваться также синдром гиперспленизма, спленомегалия, а также синдром внепеченочной портальной гипертензии.

К основным серьезным осложнениям блуждающей селезенки относятся: перекрут, инфаркт, некроз и разрыв селезенки с развитием гемоперитонеума. Перекрут селезенки возникает вследствие отсутствия связочного аппарата селезенки. Реже встречаются такие - как кишечная непроходимость, острый панкреатит, перитонит.

Важное значение имеет УЗИ с определением кровотока в сосудах селезенки. Спиральная компьютерная томография с контрастированием, а также МРТ позволяют визуализировать извитые сосуды ворот селезенки. В нашем наблюдении заподозрить перекрут блуждающей селезенки удалось при УЗИ. Наиболее характерным симптомом при спиральной компьютерной томографии, наряду с аномальным положением органа, был контрастируемый спиралевидный ход селезеночных артерии и вены.

Выбор метода хирургического лечения определяется сроками выявления аномалии и развившимися осложнениями. До недавнего времени при блуждающей селезенке спленэктомия была операцией выбора. Bar-Maor JA, Sweed Y. 1989 et al впервые выполнили лапаротомию, деторзию, спленопексию и ретроперитонизацию селезенки. Были предложены и другие методы: фиксация селезенки за сосудистую ножку, создание “гамака” из марли и дексона с подшиванием к диафрагме, интерпозиция селезенки, подшивание сальника. В 1998г у двухлетней девочки впервые выполнена лапароскопическая спленопексия с использованием петли из марли с подшиванием к диафрагме. В 2003г. Описана лапароскопическая спленопексия с использованием дексоновой сеткиВ 2005г. Hedeshian et al. выполнили лапароскопическую ретроперитонезацию селезенки 

Следует особо подчеркнуть, что из-за высокого риска развития серьезных осложнений хирургическое вмешательство показано даже у детей с бессимптомным течением данного заболевания.

Таким образом, представлено крайне редкое клиническое наблюдение перекрута и некроза добавочной блуждающей селезенки у девочки 10 месяцев через 2 месяца после лапароскопической спленэктомии по поводу перекрута и некроза блуждающей селезенки. У девочки заболевание протекало на фоне течения острой кишечной инфекции. Учитывая признаки некроза селезенки, девочке выполнена лапароскопическая спленэктомия.

Следует подчеркнуть важность того, что диагностика данной патологии у девочки грудного возраста крайне сложна. В процессе обследования и лечения ребенка принимали участие врачи различных специальностей: педиатры, детские хирурги, врачи отделения лучевой диагностики, анестезиологи-реаниматологи,  врачи-патологоанатомы. Только мультидисциплинарный подход к обследованию и лечению ребенка позволяет установить точный диагноз и сформировать правильный план лечения малыша.

Данные об авторах:

1) Соколов Юрий Юрьевич – заведующий кафедрой детской хирургии РМАНПО, доктор медицинских наук, профессор. E-mail: sokolov-surg@yandex.ru Адрес: 125480 Москва, улица Героев Панфиловцев, дом 28, хирургическое отделение

2)  Стоногин Сергей Васильевич – врач-хирург хирургического отделения ГБУЗ ДГКБ имени З.А. Башляевой ДЗМ, кандидат медицинских наук. E-mail: svas70@mail.ru. orcid 0000-0003-3531-5849. Адрес: 125480 Москва, улица Героев Панфиловцев, дом 28, отделение хирургии

3) Дзядчик Александр Валерьевич – заведующий хирургическим отделением ГБУЗ ДГКБ имени З.А. Башляевой ДЗМ.  E-mail: dzyadchik@mail.ru Адрес: 125480 Москва, улица Героев Панфиловцев, дом 28, отделение хирургии

 4) Таширова Екатерина Александровна – врач-патологоанатом отделения патологической анатомии ГБУЗ ДГКБ имени З.А. Башляевой ДЗМ. E-mail: tashirova.katya@mail.ru   Адрес: 125480 Москва, улица Героев Панфиловцев, дом 28, отделение патологической анатомии