Лапароскопические вмешательства у детей с интраабдоминальными лимфангиомами
Соколов Ю.Ю., Стоногин С.В., Дзядчик А.В.
Кафедра детской хирургии РМАНПО им С.Я. Долецкого
Детская городская детская больница им З.А. Башляевой.
Москва 2020
Общая характеристика больных
С января 2007 – январь 2020 гг.
Количество больных: n = 58 девочки – 27, мальчики – 31
|
3 мес. – 1.5 года |
1.5 года – 5 лет |
6 -15 лет |
|
n = 8 (13,79%) |
n = 19 (32,76) |
n= 31(53,45) |
В экстренном порядке: 50%
пальпируемая опухоль
подозрение на острый аппендицит
кишечная непроходимость
Локализация интраабдоминальных ЛА
- мезентериальные ЛА
ЛА большого сальника 35 (60,35%) - забрюшинные ЛА 12(20,69%)
- ЛА селезенки 7(12,07%)
- ЛА диафрагмы 2 (3,45%)
- ЛА поджелудочной железы 1 (1,72%)
- ЛА надпочечника 1 (1,72%)
Виды лапароскопических вмешательств
- Тотальные лапароскопические операции 53(82.8%)
|
Lap иссечение мезентериальных и сальниковых ЛА |
33 |
|
Lap иссечение забрюшинных ЛА |
10 |
|
Lap иссечение ЛА диафрагмы |
2 |
|
Lap иссечение ЛА поджелудочной железы |
1 |
|
Lap адреналэтомия |
1 |
|
Lap фенестрация ЛА селезенки с термоабляцией |
2 |
|
Lap резекция селезенки |
2 |
|
Lap спленэктомия |
2 |
- Лапароскопически-ассистированные операции 4 (13.8%)
- Диагностическая лапароскопия 1 (3.5%)
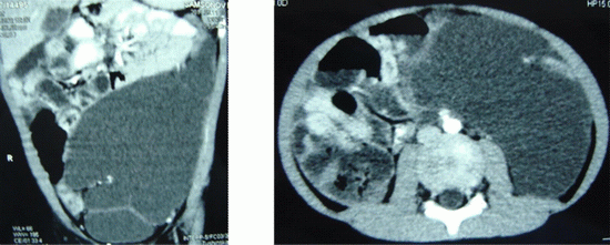
ЛА большого сальника
мальчик, 2 года

ЛА брыжейки сигмовидной кишки
мальчик, 2 года

ЛА брыжейки тонкой кишки
девочка, 3 месяца

ЛА диафрагмы
мальчик, 4 года

ЛА надпочечника
девочка, 15 лет

ЛА забрюшинного пространства
мальчик, 5 лет


Результаты
- конверсия n=1
- длительность операций 90 – 180 мин.
в среднем – 120 мин. - послеоперационных осложнений нет
- рецидив n=1 (повторное лапароскопическое иссечение ЛА хвоста поджелудочной железы
- Возможность применения лапароскопических вмешательств у детей с интраабдоминальными ЛА определяется типом (кистозная, кавернозная), локализацией (мезентериальная, забрюшинная) и органной принадлежностью ЛА
- При мезентериальных ЛА возможно применение как тотальных лапароскопических, так и лапароскопически-ассистированных операций
- Оптимальный объем операций включает иссечение стенок ЛА с сохранением мезентериальных сосудов и предлежащего сегмента кишки
- При забрюшинной локализации ЛА в близости от мочеточника, почечных сосудов, НПВ и аорты имеется высокая вероятность конверсий
Ссылка на видео операции Лапароскопическое иссечение обширной кистозной лимфангиомы большого сальника: https://www.youtube.com/watch?v=YkSafJJOhrE
Дополнительная ссылка: https://rutube.ru/video/private/d61a25a643b3665c1c4d1c60feea6541/?p=avjoz3-SDpds3Og-x0pROQ
Данные об авторах:
- Соколов Юрий Юрьевич – заведующий кафедрой детской хирургии РМАНПО имени С.Я. Долецкого, доктор медицинских наук, профессор. E-mail: sokolov-surg@yandex.ru Адрес: 125480 Москва, улица Героев Панфиловцев, дом 28, хирургическое отделение. https://orcid.org/0000-0003-3831-768X
- Стоногин Сергей Васильевич – врач-хирург хирургического отделения ГБУЗ ДГКБ имени З.А. Башляевой ДЗМ, кандидат медицинских наук. E-mail: svas70@mail.ru Адрес: 125480 Москва, улица Героев Панфиловцев, дом 28, отделение хирургии. https://orcid.org/0000-0003-3531-5849
- Дзядчик Александр Валерьевич – заведующий хирургическим отделением ГБУЗ ДГКБ имени З.А. Башляевой ДЗМ. E-mail: dzyadchik@mail.ru Адрес: 125480 Москва, улица Героев Панфиловцев, дом 28, отделение хирургии. https://orcid.org/0000-0002-6751-3068