• Главная страница
  • Карта сайта
  • Заявка на лечение
  • Контакты

Treatment abroad on Russian Medical Server

Медицинский центр РАМБАМ
в Израиле

(495) 506 61 01

Русский Медицинский Сервер / Клиника Рамбам / Лечение опухолей полости носа в клинике Рамбам

Лечение опухолей полости носа в клинике Рамбам

Среди опухолей ЛОР-органов опухоли носовой полости и околоносовых пазух встречаются весьма нередко. В клинике Рамбам диагностика и лечение данной патологии стоит на высоком уровне. Здесь этим занимаются не только специалисты области оториноларингологии, но и общие хирурги, нейрохирурги, онкологи, радиологи.

Проявления опухолей полости носа и околоносовых пазух на начальных этапах болезни, как правило, невыраженные, и пациент может не обращать внимания на них. Опухоли данной области внешне, по своему течению и расположению довольно разнообразны. Такая локализация опухолей полости носа объясняет риск их прорастания из лицевой части в черепную, и наоборот, ввиду тонкости костных стенок полостей, целостность которых нарушается от сдавливания растущей опухолью. Кроме того, естественные проходы (костные каналы) и наличие отверстий между полостью черепа и полостями носа, через которые идут нервные и сосудистые пучки, также обусловливают высокую вероятность распространения опухолей полости носа в черепную полость.,/P>

Различают следующие опухоли полости носа, околоносовых пазух и носоглотки:

  • Доброкачественные эпителиальные опухоли
  • Опухоли мягких тканей: гемангиомы, лимфангиомы, гемангиоперицитомы, нейрофибромы, шванномы, фиброксантомы, юношеские ангиофибромы.
  • Опухоли костной и хрящевой ткани: остеомы, хондромы, фибромы и др.
  • Смешанные опухоли: тератома, менингиома, одонтогенные опухоли и др.
  • Опухолеподобные образования: фиброзно-отечный полип, кисты, псевдоэпителиоматозная гиперплазия.

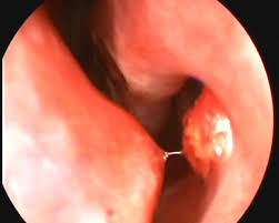
Гемангиома полости носаГемангиома полости носа

Эта опухоль – наиболее частая из доброкачественных, которая встречается в полости носа. Она встречается у лиц любого возраста и пола. Чаще всего гемангиома локализуется в переднем отделе перегородки на границе костной и хрящевой части. Внешне гемангиома имеет вид ярко-красного полипа с широкой ножкой. При контакте гемангиома легко травмируется и часто кровоточит. Поверхность ее почти всегда изъязвлена.

Хондрома полости носа

Хондрома – это доброкачественная опухоль хрящевой ткани. Ее излюбленная локализация – т.н. решетчатый синус. Гораздо реже хондрома может располагаться в области передней части перегородки носа и крыльев носа. Хондромы полости носа чаще всего встречаются в молодом возрасте. Для них характерен медленный рост. При этом хондрома может разрушать пластинки решетчатой кости и распространяться в переднюю черепную ямку и глазницу, поэтому их доброкачественный характер - относительный.

Ключевая роль в диагностике такой опухоли принадлежит расширенной компьютерной или магнитно-резонансной томографии со специальными укладками для оценки выявления состояния каналов и щелей, через которые может распространяться опухоль.

КТ и МРТ позволяют определить границы распространения опухоли, отношение к соседним тканям и образованиям и наличие разрушения костных стенок.

Проявления хондром полости носа и околоносовых пазух на начальных стадиях могут быть практически незаметными. По мере роста опухоли она закрывает полость носа и нарушается носовое дыхание, что ведет к головным болям. При проникновении опухоли в соседние области появляется деформация лица, глаза становятся выпученными, появляются различные нарушения зрения вплоть до амавроза, поражение черепных нервов.

Остеома полости носа

Остеома – опухоль костной ткани. Она возникает в костях лицевого скелета и околоносовых пазух. Чаще всего она встречается в лобной кости, верхней челюсти, решетчатой кости. Остеома может исходить и из слизистой околоносовых пазух вне связи с их костной стенкой. Остеома – одна из часто встречающихся доброкачественных опухолей околоносовых пазух. Чаще всего ею болеют мужчины в молодом возрасте. Эта опухоль медленно растет как неподвижное, плотное и безболезненное образование в течение долгого времени.

Небольшие остеомы околоносовых пазух могут никак не беспокоить пациента, течение их бессимптомное и выявляются они случайно на рентгенограммах. При крупных размерах опухоли появляются головная боль и другая общемозговая симптоматика. Глазная симптоматика может косвенно указывать на поражение основания черепа. В некоторых случаях отмечается одностороннее нарушение функции слуховой трубы и экссудативный средний отит.

Симптоматика остеомы зависит от направления роста опухоли. При больших размерах опухоли может быть обезображивание лица, смещение глазных яблок. Такая опухоль может проникать в полость черепа и сдавливать головной мозг.

Диагностика опухолей полости носа в клинике Рамбам

В диагностике таких опухолей ключевая роль принадлежит следующим методам обследования:

  • Обследование ЛОР-врача, невролога, нейрохирурга.
  • Развернутые анализы крови, мочи.
  • Биопсия опухоли с последующим исследованием биоптата.
  • МРТ и КТ головы, а также других органов для выявления метастазов, определения локализации опухоли, ее структуры, контуров, характера роста и отношения к соседним тканям.
  • Позитронно-эмиссионная томография с изотопным сканированием для определения наличия метастазов в органах и костной ткани.

Лечение опухолей носа и придаточных пазух в медицинском центре Рамбам

Лечение опухолей данной области в клинике Рамбам проходит довольно успешно. В нем участвуют разные специалисты: ЛОР-врачи, челюстно-лицевые хирурги, онкологи, нейрохирурги, радиологи и т.д.

Методы лечения, которые здесь применяются – хирургический, лучевая терапия и химиотерапия. Выбор метода зависит от локализации опухоли, ее размеров, характера прорастания в черепную полость, наличия отдаленных метастазов, операбельности самой опухоли, общего состояния пациентов. Чаще всего лечение комбинированное. На ранней стадии злокачественных проводится удаление опухоли с помощью диатермокоагуляции с последующим облучением. При неоперабельности опухоли применяются облучение, в том числе и новейший метод – Кибер-нож, в сочетании с химиотерапией, если имеются отдаленные метастазы.


+7 (495) 506 61 01 – срочная организация лечения в Израиле

ЗАПРОС в КЛИНИКУ


Рак мочевого пузыря

В лечении рака мочевого пузыря в клинике Рамбам применяются хирургические методы, в том числе и эндоскопические, химиотерапия, лучевая терапия. Выбор того или иного метода зависит от стадии рака. Подробнее

Лечение в Москве и за рубежом


  • Детская больница в Москве
  • Лечение в Германии
  • Клиники Германии
  • Ортопедическая клиника КАССЕЛЬ
  • Лечение в Израиле
  • Медицина Израиля - МЦ IMedical
  • Клиники Израиля
  • Лечение в Швейцарии
  • Стоматологи Израиля
  • Университетская клиника Цюриха
  • Лечение в Австрии
  • Малоинвазивная хирургия позвоночника
  • Университетская клиника Тюбинген
  • Клиника Ихилов в Израиле

    • Онкологический институт Рамбам
    • Онкологическая диагностика в клинике Рамбам
    • Методы лечения онкологии в клинике Рамбам
    • Лечение меланомы в клинике Рамбам
    • Лечение опухолей глаза в клинике Рамбам
    • Лечение опухолей головного мозга в клинике Рамбам
    • Лечение опухолей спинного мозга в клинике Рамбам
    • Лечение рака гортани в клинике Рамбам
    • Лечение рака желудка в клинике Рамбам
    • Лечение рака легких в клинике Рамбам
    • Лечение рака молочной железы в клинике Рамбам
    • Лечение рака мочевого пузыря в клинике Рамбам
    • Лечение рака печени в клинике Рамбам
    • Лечение рака пищевода в клинике Рамбам
    • Лечение рака поджелудочной железы в клинике Рамбам
    • Лечение рака почки в клинике Рамбам
    • Лечение рака простаты в клинике Рамбам
    • Лечение рака яичка в клинике Рамбам
    • Лечение рака тела матки в клинике Рамбам
    • Лечение рака шейки матки в клинике Рамбам
    • Лечение рака яичников в клинике Рамбам
    • Лечение рака толстой кишки в клинике Рамбам
    • Лечение саркомы мягких тканей в клинике Рамбам
    • Лечение рака языка в клинике Рамбам
    • Диагностика болезней крови в клинике Рамбам
    • Центр трансплантации костного мозга в клинике Рамбам
    • Лечение апластической анемии в клинике Рамбам
    • Лечение гемофилии в клинике Рамбам
    • Лечение лейкозов в клинике Рамбам
    • Лечение лимфомы Ходжкина в клинике Рамбам
    • Лечение неходжкинской лимфомы в клинике Рамбам
    • Лечение тромбоцитопении в клинике Рамбам
    • Отделение гематологии и онкогематологии клиники Рамбам
    • Трансплантация костного мозга в клинике Рамбам
    • Центр гастроэнтерологии клиники Рамбам
    • Гастроэнтерологическая диагностика в клинике Рамбам
    • Капсульная эндоскопия в клинике Рамбам
    • Лечение гепатита С в клинике Рамбам
    • Лечение цирроза печени в клинике Рамбам
    • Лечение рефлюкс-эзофагита в клинике Рамбам
    • Лечение болезни Крона в клинике Рамбам
    • Лечение геморроя в клинике Рамбам
    • Диагностический центр клиники Рамбам
    • Ранняя диагностика в клинике Рамбам
    • Отделение ПЭТ-КТ в клинике Рамбам
    • Визуальная диагностика в клинике Рамбам
    • Отделение компьютерной томографии в клинике Рамбам
    • Инвазивная радиология в клинике Рамбам
    • Отделение радиоизотопных исследований в клинике Рамбам
    • Отделение эндокринологии клиники Рамбам
    • Эндокринная хирургия в клинике Рамбам
    • Тиреоидэктомия в клинике Рамбам
    • Лечение сахарного диабета в клинике Рамбам
    • Пульмонологический центр клиники Рамбам
    • Лечение бронхиальной астмы в клинике Рамбам
    • Лечение хронической обструктивной болезни легких в клинике Рамбам
    • Отделение торакальной хирургии клиники Рамбам
    • Эзофагоскопия в клинике Рамбам
    • Бронхоскопия в клинике Рамбам
    • Торакоскопия в клинике Рамбам
    • Медиастиноскопия в клинике Рамбам
    • Тонкоигольная аспирационная биопсия легких в клинике Рамбам
    • Лечение дисфагии в клинике Рамбам
    • Лечение спонтанного пневмоторакса в клинике Рамбам
    • Лечение тимомы в клинике Рамбам
    • Видеотораскоскопическая хирургия рака легкого в клинике Рамбам
    • Отделение неврологии клиники Рамбам
    • Отделение когнитивной неврологии клиники Рамбам
    • Клиника нейромышечных заболеваний клиники Рамбам
    • Электромиография в клинике Рамбам
    • Электроэнцефалография в клинике Рамбам
    • Лечение рассеянного склероза в клинике Рамбам
    • Лечение болезни Паркинсона в клинике Рамбам
    • Лечение инсульта в клинике Рамбам
    • Лечение эпилепсии в клинике Рамбам
    • Отделение нейрохирургии клиники Рамбам
    • Хирургия позвоночника в клинике Рамбам
    • Эпидуроскопия в клинике Рамбам
    • Лечение менингиомы в клинике Рамбам
    • Лечение глиобластомы в клинике Рамбам
    • Эндоскопические операции при гидроцефалии в клинике Рамбам
    • Лечение болезней сердца в клинике Рамбам
    • Отделение инвазивной кардиологии клиники Рамбам
    • Отделение неинвазивной кардиологии клиники Рамбам
    • Отделение кардиореанимации клиники Рамбам
    • Отделение электрофизиологии клиники Рамбам
    • Отделение сердечной недостаточности клиники Рамбам
    • Отделение детской кардиологии клиники Рамбам
    • Диагностика заболеваний сердца в клинике Рамбам
    • Диагностика инфаркта миокарда в клинике Рамбам
    • Лечение инфаркта миокарда в клинике Рамбам
    • Лечение стенокардии в клинике Рамбам
    • Кардиохирургия в клинике Рамбам
    • Коронарное стентирование в клинике Рамбам
    • Катетеризация сердца в клинике Рамбам
    • Протезирование аортального клапана в клинике Рамбам
    • Лечение пороков митрального клапана в клинике Рамбам
    • Осложнения пороков митрального клапана
    • Лечение аритмии в клинике Рамбам
    • Радиочастотная абляция в клинике Рамбам
    • Лечение сердечной недостаточности в клинике Рамбам
    • Лечение кардиомиопатии в клинике Рамбам
    • Лечение синдрома Марфана в клинике Рамбам
    • Хирургия в клинике Рамбам
    • Отделение общей хирургии клиники Рамбам
    • Эндоскопическая хирургия в клинике Рамбам
    • Челюстно-лицевая хирургия в клинике Рамбам
    • Сосудистая хирургия в клинике Рамбам
    • ЛОР отделение клиники Рамбам
    • Операции в клинике Рамбам
    • Эндоназальное удаление опухолей головного мозга в клинике Рамбам
    • Лечение опухолей полости носа в клинике Рамбам
    • Септопластика в клинике Рамбам
    • Диагностика и лечение рака гортани в клинике Рамбам
    • Удаление гланд и аденоидов в клинике Рамбам
    • Лечение храпа в клинике Рамбам
    • Лечение охриплости голоса в клинике Рамбам
    • Лечение непроходимости слезного канала и дакриоцистита в клинике Рамбам
    • Отделение урологии клиники Рамбам
    • Отделение урологической онкологии клиники Рамбам
    • Урография в клинике Рамбам
    • Цистоскопия в клинике Рамбам
    • DMSA-сканирование почек в клинике Рамбам
    • Лечение мочекаменной болезни в клинике Рамбам
    • Цистэктомия в клинике Рамбам
    • Частичная нефрэктомия в клинике Рамбам
    • Реконструкция мочевого пузыря в клинике Рамбам
    • Трансуретральная резекция простаты в клинике Рамбам
    • Лечение гипоспадии в клинике Рамбам
    • Отделение гинекологии клиники Рамбам
    • Отделение гинекологической ультразвуковой диагностики клиники Рамбам
    • Отделение урогинекологии клиники Рамбам
    • Отделение онкогинекологии клиники Рамбам
    • Лечение миомы матки в клинике Рамбам
    • Лечение эндометриоза в клинике Рамбам
    • Операции роботом Да Винчи в гинекологии в клинике Рамбам
    • Акушерство в клинике Рамбам
    • Экстракорпоральное оплодотворение (ЭКО) в клинике Рамбам
    • Отделение патологии беременности в клинике Рамбам
    • Институт генетики клиники Рамбам
    • Отделение нефрологии клиники Рамбам
    • Лечение гломерулонефрита в клинике Рамбам
    • Лечение хронической почечной недостаточности в клинике Рамбам
    • Отделение ортопедии клиники Рамбам
    • Ортопедическая хирургия в клинике Рамбам
    • Ортопедическая онкология в клинике Рамбам
    • Отделение хирургии кисти клиники Рамбам
    • Травматология в клинике Рамбам
    • Лечение халюс вальгус в клинике Рамбам
    • Вертебропластика в клинике Рамбам
    • Дискэктомия в клинике Рамбам
    • Имплантация искусственного межпозвонкового диска в клинике Рамбам
    • Лечение грыжи межпозвонковых дисков в клинике Рамбам
    • Нуклеопластика в клинике Рамбам
    • Микрофораминотомия и микроламинэктомия в клинике Рамбам
    • Лечение сколиоза в клинике Рамбам
    • Артроскопия в клинике Рамбам
    • Лечение деформаций нижних конечностей в клинике Рамбам
    • Протезирование тазобедренного сустава в клинике Рамбам
    • Протезирование коленного сустава в клинике Рамбам
    • Лечение хронических ран в клинике Рамбам
    • Офтальмология в клинике Рамбам
    • Лечение катаракты в клинике Рамбам
    • Лечение глаукомы в клинике Рамбам
    • Лечение вторичной катаракты в клинике Рамбам
    • Лечение амблиопии в клинике Рамбам
    • Лечение близорукости в клинике Рамбам
    • Лечение гиперметропии в клинике Рамбам
    • Лазерная иридотомия в клинике Рамбам
    • Лазерная трабекулопластика в клинике Рамбам
    • Лечение блефарита в клинике Рамбам
    • Лечение иридоциклита в клинике Рамбам
    • Лечение конъюнктивита в клинике Рамбам
    • Лечение косоглазия в клинике Рамбам
    • Лечение отслойки сетчатки в клинике Рамбам
    • Лечение разрыва макулы в клинике Рамбам
    • Лечение эпиретинального фиброза в клинике Рамбам
    • Пластическая хирургия в клинике Рамбам
    • Эстетическая хирургия в клинике Рамбам
    • Абдоминопластика в клинике Рамбам
    • Подтяжка лица в клинике Рамбам
    • Блефаропластика в клинике Рамбам
    • Отопластика в клинике Рамбам
    • Устранение дефектов кожи в клинике Рамбам

    Оформить заявку на лечение

    Ваше имя и фамилия:
    Контактный телефон:
    Краткое описание
    медицинской проблемы:
    Ваш E-mail:

    Данный интернет-сайт носит исключительно информационный характер и ни при каких условиях не является публичной офертой, определяемой положениями Статьи 437 (2) Гражданского кодекса Российской Федерации

    israel@rusmedserv.com

    (495) 506 61 01