
Если Вы хотите, чтобы Ваши зубы стали истинным совершенством,стоматологи Villa Vital с радостью предложат Вам современные методы эстетической стоматологии, ортодонтии, имплантологии и зубопротезирования.
Механическое удаление мягкого налета и зубных камней – не всегда безболезненная процедура, поэтому в Германии существует методика отбеливания зубов ультразвуком. В связи с тем, что ультразвук используется для удаления поверхностных отложений, можно предположить, что данный вид отбеливания больше относится к профессиональной гигиене полости рта, чем к классическому глубокому отбеливанию эмали. Но все же пациенты бывают приятно удивлены, когда выясняется, что эстетические свойства зуба, а точнее, степень его цветности уменьшается на несколько единиц только за счет ультразвуковой обработки поверхности.

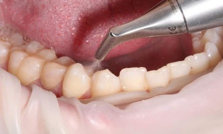
В Германии эта процедура проходит при использовании специального оборудования, генерирующего ультразвук. Ультразвук наиболее часто генерируется с помощью пьезоэлемента. На кристалл пьезоэлемента подается электрический ток с частотой колебаний, равной ультразвуковой частоте. Кристалл под действием этого тока начинает механически колебаться и генерировать ультразвук. Далее энергия ультразвуковой волны передается на рабочий наконечник прибора для отбеливания. Ультразвук максимально прицельно и мягко, не травмируя эмаль и окружающие ткани, удаляет и мягкий зубной налет, и твердые зубные камни.
По окончании процедуры удаления налета зубы покрываются пастой, выполняющей сразу 2 функции: защиту зубов от внешнего воздействия и функцию материала для полировки зубов. В процессе поллитровки этой пастой зуб становится не только высокоэстетичным, но и высокоустойчивым к действию химических факторов.
Ультразвуковые скелеры представляют собой специализированные инструменты для снятия отложений. Они имеют особую заточку, что предотвращает повреждение эмали зуба. В ультразвуковом скелере обычно используется водяная струя, подаваемая под давлением. Благодаря совместному воздействию ультразвука и водяной струи как раз и происходит достаточно нежное, но надежное удаление даже самого плотного налета. Получается, что ультразвуковое отбеливание зубов на самом деле отбеливанием не является. Это, скорее, профессиональная гигиена полости рта, которая почти всегда начинается именно со снятия зубных отложений. В данном случае речь идет об использовании для этой цели более современного ультразвукового инструмента. Попутно используются специализированные ручные инструменты, а также лекарственные средства, размягчающие зубной камень.

После окончания гигиенических мероприятий при наличии воспалительных явлений со стороны десен используются лекарственные мази и десневые повязки, способствующие скорейшему выздоровлению.
Обычно отбеливание ультразвуком является подготовительным этапом к собственно отбеливанию эмали, т.к. при этом происходит снятие отложений с ее поверхности. Но иногда только этой процедуры бывает вполне достаточно для того, чтобы пациент смог увидеть природную красоту собственных зубов. Понадобится ли дополнительное отбеливание? Этот вопрос решать пациенту и врачу после ультразвукового отбеливания.

Элитный стоматологический центр в живописном районе города Дайдесхайма. Новейшее оборудование, опытные врачи, сервис VIP-уровня для Вас.