Глазкова
Л.К., Акилов О. Е .
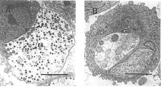
Рисунок 1 На фотографии, полученной при электронной микроскопии, клетки инфицированные Chlamydia trachomatis. [15]

(А) Типичное влкючение, содержащее элементарные (EB) и ретикулярные тельца
(RB) тельца, 48 ч после инкубации.
(B) Патоморфологическая модель хламидийной персистенции. В результате культивирования инфицированных клеток, в начале при 37С в течение 24 ч и далее при 42 С (тепловой шок) в течение 24 ч, во включениях меньших размеров, содержаться крупные, патологические формы хламидий.
Линейка = 5 милимикронам.