• Главная страница
  • Карта сайта
  • Заявка на лечение
  • Контакты

Treatment abroad on Russian Medical Server

Лечение в Финляндии

+7 (925) 50 254 50

Русский Медицинский Сервер / Лечение в Финляндии / Абсцесс легкого - лечение в Финляндии

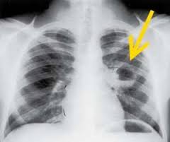
Абсцесс легкого - лечение в Финляндии

Абсцесс легких является патологическим процессом, характеризующимся сформировавшейся в легочных тканях ограниченной полостью, которую вызвал некроз и последующее гнойное расплавление.

Патология может быть острой (с продолжительностью до месяца), хронической. Также патологический процесс подразделяют на первичный, которому могут подвергаться больные со склонностью к аспирации ротоглоточного содержимого, здоровые пациенты. И на вторичные, развитие которых вызвали системные болезни с дисфункцией иммунитета, ВИЧ-инфицирование, бронхогенная карцинома, трансплантация.

Методики диагностирования легочных абсцессов, применяемые в медучреждениях Финляндии

Абсцесс легкогоДля установления безошибочного диагноза, определения широты патологии назначают выполнение:

Лабораторных исследований:

  • крови;
  • плевральной жидкости;
  • микроскопии мокроты.

Инструментальных исследований:

  • рентгенологических (прямая, боковая проекции);
  • электрокардиографии;
  • спирографии;
  • бронхоскопии с проведением аспирации гнойных масс, чтобы оценить чувствительность микрофлоры к антибактериальным средствам;
  • биопсия (тонкоигольная трансторакальная).

Перед исследованиями проводится осмотр, тщательный сбор анамнеза.

Терапевтические методики, используемые при абсцессах

Стандартное лечение патологии — назначение фармакотерапии антибактериальными препаратами.

Применение хирургических вмешательств показано при:

  • неэффективной фармакотерапии;
  • легочных кровотечениях;
  • имеющемся злокачественном новообразовании, которое требуется искоренять путем оперирования;
  • абсцессе значительного размера;
  • прорыве в полость плевры;
  • хроническом протекании патологии.

С учетом диагностирования возможно проведение:

  • Одномоментной пневмотомии, являющейся дренирующей хирургической процедурой, основанной на широком рассечении легочной патологии сквозь грудную стенку. Оперированием обеспечивают адекватное дренирование гнойных полостей. Методику задействуют, когда присутствует сращение между плевральными листками.
  • Двухмоментной пневмотомии, представляющей собой двухэтапную хирургическую процедуру, используемую, когда сращение отсутствует. Сначала производят пневмопексию (сращивают плевральные листки). Через неделю дренируют.
  • Дренирования, выполняемого пункцией либо введением дренажа.
  • Удаления части легкого, либо орган удаляют полностью.


+7 (925) 50 254 50 – лечение в клиниках Финляндии

ЗАПРОС в КЛИНИКУ


Лечение в Москве и за рубежом


  • Детская больница в Москве
  • Лечение в Германии
  • Клиники Германии
  • Ортопедическая клиника КАССЕЛЬ
  • Лечение в Израиле
  • Медицина Израиля - МЦ IMedical
  • Клиники Израиля
  • Лечение в Швейцарии
  • Стоматологи Израиля
  • Университетская клиника Цюриха
  • Лечение в Австрии
  • Малоинвазивная хирургия позвоночника
  • Университетская клиника Тюбинген
  • Клиника Ихилов в Израиле

    • Диагностика в Финляндии
    • Лабораторные исследования в Финляндии
    • Ультразвуковое исследование в Финляндии
    • Эхокардиография и электрокардиография в Финляндии
    • Фиброгастроскопия в Финляндии
    • Биорезонансная диагностика организма в Финляндии
    • Магнитно-резонансная томография (МРТ) в Финляндии
    • Тепловизорная диагностика (тепловидение, термоскопия) в Финляндии
    • Сердечно-сосудистый центр в Финляндии
    • Кардиология в Финляндии
    • Оперативное лечение коронарной недостаточности в Финляндии
    • Ангиопластические операции в Финляндии
    • Коронарное шунтирование в Финляндии
    • Лечение аритмий в Финляндии
    • Лечение брадикардии в Финляндии
    • Лечение тахикардии в Финляндии
    • Лечение экстрасистолии в Финляндии
    • Лечение мерцательной аритмии в Финляндии
    • Лечение блокады сердца в Финляндии
    • Установка кардиостимуляторов в Финляндии
    • Хирургическое лечение врожденных и приобретенных пороков сердца в Финляндии
    • Пластика сердечного клапана в Финляндии
    • Установка биологического сердечного клапана в Финляндии
    • Установка механического сердечного клапана в Финляндии
    • Протезирование аортального клапана в Финляндии
    • Ангиопластика в Финляндии
    • Ангиопластика и стентирование в Финляндии
    • Шунтирование артерии нижней конечности в Финляндии
    • Стентирование сосудов в Финляндии
    • Хирургическое лечение аневризм крупных сосудов в Финляндии
    • Лечение варикозного расширения вен в Финляндии
    • Радиофреквенционная абляция варикоза в Финляндии
    • Лазерное лечение варикоза в Финляндии
    • Пенная склеротерапия варикоза в Финляндии
    • Торакальная хирургия в Финляндии
    • Лобэктомия в Финляндии
    • Пневмонэктомия в Финляндии
    • Операция при эмфиземе легких в Финляндии
    • Диафрагмальная грыжа - лечение в Финляндии
    • Удаление раковых опухолей средостения в Финляндии
    • Удаление пищевода в Финляндии
    • Удаление легочных пузырей в Финляндии
    • Склеивание плевральных листков в Финляндии
    • Удаление фрагментов грудной клетки при обнаружении опухолей - в Финляндии
    • Врожденная деформация грудной клетки - лечение в Финляндии
    • Лечение перикардиального выпота в Финляндии
    • Бивентрикулярные кардиостимуляторы - лечение СН в Финляндии
    • Лечение гипергидроза в Финляндии
    • Лечение стеноза бронхов и трахеи в Финляндии
    • Операции при заболеваниях вилочковой железы в Финляндии
    • Абсцесс легкого - лечение в Финляндии
    • Хирургическое лечение щитовидной и паращитовидных желез в Финляндии
    • Центр нейрологии в Финляндии
    • Аневризма головного мозга - лечение в Финляндии
    • Нейроонкология в Финляндии
    • Лучевая терапия в нейроонкологии в Финляндии
    • Кибер-нож в Финляндии
    • Нейромодуляционная терапия в Финляндии
    • Лечение эпилепсии в Финляндии
    • Детская нейрохирургия в Финляндии
    • Опухоль слухового нерва - лечение в Финляндии
    • Опухоли гипофиза - лечение в Финляндии
    • Лечение нейроэндокринных опухолей в Финляндии
    • Межпозвоночная грыжа - лечение в Финляндии
    • Защемление нервов позвоночника - лечение в Финляндии
    • Опухоль позвоночника - лечение в Финляндии
    • Онкологический Центр в Финляндии
    • Химиотерапия в Финляндии
    • Лучевая терапия в Финляндии
    • Иммунотерапия в Финляндии
    • Онкологическая хирургия в Финляндии
    • Лазерная терапия онкологии в Финляндии
    • Методика гипертермии при лечении рака в Финляндии
    • Биотерапия рака в Финляндии
    • Генетическая диагностика рака в Финляндии
    • Лечение рака предстательной железы в Финляндии
    • Лечение рака яичка в Финляндии
    • Лечение рака почек в Финляндии
    • Лечение рака надпочечников в Финляндии
    • Лечение рака мочевого пузыря в Финляндии
    • Лечение рака молочной железы в Финляндии
    • Лечение рака матки в Финляндии
    • Лечение рака шейки матки в Финляндии
    • Лечение рака яичников в Финляндии
    • Лечение рака желудка в Финляндии
    • Лечение рака фатерова соска в Финляндии
    • Лечение рака поджелудочной железы в Финляндии
    • Лечение рака пищевода в Финляндии
    • Лечение рака аппендикса в Финляндии
    • Лечение рака прямой кишки в Финляндии
    • Лечение рака желчного пузыря в Финляндии
    • Лечение рака желчных протоков в Финляндии
    • Лечение рака толстого кишечника в Финляндии
    • Лечение рака двенадцатиперстной кишки в Финляндии
    • Лечение рака ободочной кишки в Финляндии
    • Лечение рака печени в Финляндии
    • Лечение рака щитовидной железы в Финляндии
    • Лечение рака кожи в Финляндии
    • Лечение меланомы в Финляндии
    • Лечение ретинобластомы в Финляндии
    • Лечение бронхиальной аденомы в Финляндии
    • Лечение рака легких и бронхов в Финляндии
    • Лечение рака плевры в Финляндии
    • Лечение рака гортани в Финляндии
    • Лечение опухоли лица в Финляндии
    • Лечение рака губы в Финляндии
    • Лечение рака слизистой полости рта в Финляндии
    • Лечение рака слюнных желез в Финляндии
    • Лечение рака языка в Финляндии
    • Лечение рака уха в Финляндии
    • Лечение рака костей в Финляндии
    • Лечение лимфомы в Финляндии
    • Лечение миеломной болезни в Финляндии
    • Пересадка костного мозга в Финляндии
    • Лечение рака головного мозга в Финляндии
    • Лечение саркомы костей в Финляндии
    • Лечение саркомы Капоши в Финляндии
    • Лечение рака дёсен в Финляндии
    • Лечение рака брюшины и забрюшинного пространства в Финляндии
    • Лечение опухоли параганглиев в Финляндии
    • Лечение гипофарингеального рака в Финляндии
    • Лечение рака мочеточника в Финляндии
    • Лечение рака глаза и глазницы в Финляндии
    • Лечение рака миндалин в Финляндии
    • Лечение рака гипофиза в Финляндии
    • Реконструктивная хирургия при раке груди и меланоме кожи в Финляндии
    • Лечение рака Кибер-ножом в Финляндии
    • Ортопедический Центр в Финляндии
    • Эндопротезирование тазобедренного сустава в Финляндии
    • Эндопротезирование коленного сустава в Финляндии
    • Артроскопия плечевого сустава в Финляндии
    • Артроскопия локтевого сустава в Финляндии
    • Артроскопия лучезапястного сустава в Финляндии
    • Артроскопия коленного сустава в Финляндии
    • Артроскопия голеностопного сустава в Финляндии
    • Артроскопия таранно-пяточно-ладьевидного сустава в Финляндии
    • Артроскопия большого пальца ноги в Финляндии
    • Лечение вальгусной деформации шейки бедра в Финляндии
    • Лечение вальгусной деформации ног в Финляндии
    • Лечение вальгусной деформации голеностопного сустава в Финляндии
    • Лечение вальгусной деформации стопы в Финляндии
    • Лечение вальгусной деформации первого пальца стопы в Финляндии
    • Лечение вальгусной деформации у детей в Финляндии
    • Лечение артроза и артрита кисти в Финляндии
    • Операции при вывихе кисти в Финляндии
    • Хирургия кисти при дефектах мягких тканей в Финляндии
    • Хирургия кисти при лечении переломов в Финляндии
    • Хирургия кисти при лечении повреждений нервных окончаний в Финляндии
    • Детская хирургия в Финляндии
    • Лечение новорожденных в Финляндии
    • Врожденные пороки грудной клетки и легких у детей - лечение в Финляндии
    • Болезни пищевода и органов грудной клетки у детей - лечение в Финляндии
    • Заболевания органов грудной клетки у детей - лечение в Финляндии
    • Пороки сердца у детей - лечение в Финляндии
    • Комбинированные пороки сердца у детей - лечение в Финляндии
    • Пороки сердца и передней брюшной стенки у ребенка - лечение в Финляндии
    • Грыжи у детей - лечение в Финляндии
    • Патология желудочно-кишечного тракта у детей - лечение в Финляндии
    • Патология брюшной полости у детей - лечение в Финляндии
    • Кишечная непроходимость у детей - лечение в Финляндии
    • Детская онкология в Финляндии
    • Детская онкология в Финляндии
    • Прогноз при детской онкологии
    • Лечение злокачественных опухолей у детей в Финляндии
    • Острый лимфобластный лейкоз у детей: лечение и диагностика в Финляндии
    • Опухоли мозга у детей - лечение в Финляндии
    • Лимфомы у детей - лечение в Финляндии
    • Нейробластома у детей - лечение в Финляндии
    • Опухоль Вильямса – лечение в Финляндии
    • Опухоли костей у детей - лечение в Финляндии
    • Ретинобластома у детей - лечение в Финляндии
    • Ретинобластома у детей - лечение в Финляндии
    • Опухоли печени у детей - лечение в Финляндии
    • Гистиоцитоз клеток Ларгенганса у детей - лечение в Финляндии
    • Офтальмологический центр в Финляндии
    • Лечение возрастной дегенерации макулы, диабетической ретинопатии в Финляндии
    • Лечение катаракты, глаукомы в Финляндии
    • Хирургия сетчатки глаза в Финляндии
    • Нейроофтальмология в Финляндии
    • Нейроофтальмология в Финляндии
    • Лечение отслойки сетчатки в Финляндии
    • Лечение глазных опухолей в Финляндии
    • Транспупиллярная термотерапия в Финляндии
    • Адъювантная брахитерапия глаза в Финляндии
    • Энуклеация глаза в Финляндии
    • Лечение глаукомы в Финляндии
    • Трансплантация роговицы в Финляндии
    • Ламеллярная кератопластика в Финляндии
    • Пересадка искусственной роговицы в Финляндии
    • Лечение увеита в Финляндии
    • Лечение травмы глаза в Финляндии
    • Закрытая витрэктомия в Финляндии
    • Трансплантация пигментного эпителия сетчатки (ПЭС) в Финляндии
    • Дакриоцисториностомия в Финляндии
    • Хирургия слезных протоков в Финляндии
    • Лазерная коррекция зрения в Финляндии
    • LASEK в Финляндии
    • PRK в Финляндии
    • Epi – lasek в Финляндии
    • Femto – Lasek в Финляндии
    • Лечение близорукости в Финляндии
    • Лечение дальнозоркости в Финляндии
    • Лечение астигматизма в Финляндии
    • Лечение амблиопии в Финляндии
    • Лечение косоглазия в Финляндии
    • Лечение кератоконуса в Финляндии
    • Лечение деструкции стекловидного тела в Финляндии
    • Иридэктомия в Финляндии
    • Лазерная трабекулотомия в Финляндии
    • Лазерная гониотомия в Финляндии
    • Удаление птеригиума в Финляндии
    • Кератопластика в Финляндии
    • Интрастромальные кольца в Финляндии
    • Синдром сухого глаза - лечение в Финляндии
    • Воспаление века - лечение в Финляндии
    • Оптическая когерентная томография глаза в Финляндии
    • Биомикроскопия глаза в Финляндии
    • Лазерная томография сетчатки в Финляндии
    • Электроретинография в Финляндии
    • Кератометрия в Финляндии
    • Тонометрия роговицы в Финляндии
    • Офтальмоскопия в Финляндии
    • Ультразвуковая допплерография сосудов глаза в Финляндии
    • Вывих хрусталика - лечение в Финляндии
    • Гемофтальм - лечение в Финляндии
    • Эндокринная орбитопатия - лечение в Финляндии
    • Отек макулы - лечение в Финляндии
    • Реабилитационный центр в Финляндии
    • Реабилитация инвалидов в Финляндии
    • Реабилитация наркозависимых в Финляндии
    • Реабилитация после инсульта в Финляндии
    • Реабилитация после химиотерапии - в Финляндии
    • Ортопедическая реабилитация в Финляндии
    • Нейрореабилитация в Финляндии
    • Бальнеотерапия в Финляндии
    • Эрготерапия в Финляндии
    • Лечебное питание в Финляндии
    • Физиотерапия в Финляндии
    • Электротерапия в Финляндии
    • Служба психологов в Финляндии
    • Пластическая хирургия в Финляндии
    • Пересадка кожно-жировой ткани в Финляндии
    • Контурная пластика губ в Финляндии
    • Контурная пластика овала лица в Финляндии
    • Ринопластика в Финляндии
    • Маммопластика в Финляндии
    • Коррекция формы ягодиц в Финляндии
    • Липосакция в Финляндии
    • Абдоминопластика в Финляндии
    • Коррекция век в Финляндии
    • Подтяжка кожи бедер, плеч, ягодиц в Финляндии
    • Липофилинг в Финляндии
    • Коррекция рубцов в Финляндии
    • Пластика языка в Финляндии
    • Отопластика в Финляндии
    • Челюстно-лицевая хирургия в Финляндии
    • Восстановительная хирургия лица и челюстей в Финляндии
    • Местно-пластические операции лица в Финляндии
    • Использование филатовского стебля - операция в Финляндии
    • Пластика лоскутом на питающей ножке - операция в Финляндии
    • Свободная пересадка тканей - операция в Финляндии
    • Травмы челюстно-лицевой области - лечение в Финляндии
    • Повреждения мягких тканей лица - лечение в Финляндии
    • Огнестрельные повреждения челюстно-лицевой области - лечение в Финляндии
    • Переломы челюстей - лечение в Финляндии
    • Челюстно-лицевая ортопедия и протезирование в Финляндии
    • Опухоли челюстно-лицевой области - лечение в Финляндии
    • Рак нижней челюсти - лечение в Финляндии
    • Доброкачественные опухоли челюсти - лечение в Финляндии
    • Киста челюсти - лечение в Финляндии
    • Пластика подбородка в Финляндии
    • Реконструкция височно-нижнечелюстного сустава в Финляндии
    • Вывихи нижней челюсти - лечение в Финляндии
    • Остеосинтез нижней челюсти в Финляндии
    • Коррекция врождённых деформаций губы, верхней челюсти и нёба в Финляндии
    • Уранопластика в Финляндии
    • Установка лицевых имплантатов в Финляндии
    • Коррекция дефектов губы в Финляндии
    • Стоматология в Финляндии
    • Имплантация зубов в Финляндии
    • Современные зубные имплантаты в Финляндии
    • Обезболивание при имплантации зубов в Финляндии
    • Лазерная имплантация зубов в Финляндии
    • Эндооссальная имплантация зубов в Финляндии
    • Базальная имплантация зубов в Финляндии
    • Субпериостальная имплантация зубов в Финляндии
    • Внутрислизистая имплантация зубов в Финляндии
    • Чрезкостная имплантация зубов в Финляндии
    • Трансгингивальная имплантация зубов в Финляндии
    • Имплантация при полном отсутствии зубов - в Финляндии
    • Имплантация передних зубов в Финляндии
    • Костная пластика при имплантации зубов в Финляндии
    • Протезирование зубов в Финляндии
    • Съёмное и несъёмное протезирование зубов в Финляндии
    • Установка зубных коронок в Финляндии
    • Установка зубных накладок в Финляндии
    • Установка инлей, онлей, оверлей в Финляндии
    • Установка виниров в Финляндии
    • Установка люминиров в Финляндии
    • Отбеливание зубов в Финляндии
    • Остеопластика в Финляндии
    • Лечение дисфункции ВНЧС в Финляндии
    • Пародонтология в Финляндии
    • Отделение роботизированной хирургии в Финляндии
    • Операции роботом Да Винчи в Финляндии
    • Операции CyberKnife в Финляндии
    • Лечение бесплодия в Финляндии
    • Перинатальное консультирование в Финляндии
    • ЭКО в Финляндии
    • ИКСИ оплодотворение в Финляндии
    • Консервация биоматериала в Финляндии
    • ICSI – инъекция спермы в Финляндии
    • IVF/ET – подсаживание яйцеклетки успешно оплодотворенной in vitro в Финляндии
    • Эндоскопическое лечение при выявлении нарушений репродукции в Финляндии
    • Гормональная инсеминация в Финляндии
    • Гормональная стимуляция при патологии созревания фолликула в Финляндии
    • Диагностика бесплодия в Финляндии
    • Восстановительная медицина - в Финляндии

    Оформить заявку на лечение

    Ваше имя и фамилия:
    Контактный телефон:
    Краткое описание
    медицинской проблемы:
    Ваш E-mail:

    Предпочтения по стране лечения:
    Стоимость лечения и обслуживания:

    Данный интернет-сайт носит исключительно информационный характер и ни при каких условиях не является публичной офертой, определяемой положениями Статьи 437 (2) Гражданского кодекса Российской Федерации

    finland@rusmedserv.com

    +7 (925) 50 254 50